What Is gingivitis ?

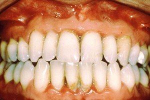
Jinjivit, so the people faced through life more known among people with gingivitis at least once in the fact that the name is important, but some people don't care that is a problem. Over time, our teeth accumulate plaque that irritate the gums and gum tissues on the outer surface of softening, swelling and reddening as the cause, the slightest bit of pressure on the gums, causing the bleeding.
Jinjivit, an easy condition to diagnose, usually when brushing your teeth bleeding gums and swelling. That doesn't cause pain that is often overlooked by people this condition is left untreated, the time to reach the bones and tissues more proficiently and scroll down, and can lead to a lot. This condition of the teeth and tooth loss leading up to and degradation separated from the meat creates a problem.
Jinjivit Should Be How To Treat?Dentist tooth by scraping with the method custom plaques and stone cleaning, and prevention of bleeding from the gums. Disorders of the teeth, fillings and oral care full if you have bruises treated and aged in a healthy way should be done.
What can be done to avoid such problems?
General dental should be given to cleanliness of the teeth regularly by brushing, plaque and plaque formation is completely blocked, bacteria and germs if they are cleaned with the floss between the teeth, around the gums and prevented the accumulation of healthy teeth and an attractive smile you can have.
Posted from my blog with SteemPress : https://www.orak11.com/index.php/2018/08/29/what-is-gingivitis/